Welcome to the BioTiGR Lab

Tissue Biology of Red Blood Cells, Team of BIGR UMR-S1134

Lab News

MT180 by Sandy Peltier
Congratulations to Sandy Peltier, our former Ph.D. student, for her outstanding thesis presentation at the…
Read our latest publication in PLoS Neglected Tropical Diseases!
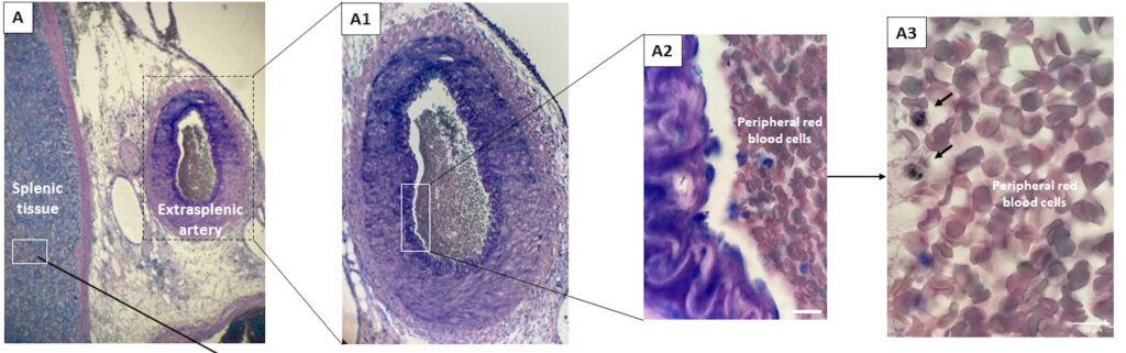
A 35-year-old man had splenic rupture just after starting antimalarial treatment with atovaquone-proguanil followed by…
Read our latest publication in Endocr Connect!
Purpose Steroidogenic factor 1 (SF-1), encoded by NR5A1, is essential for spleen development and function.…
Read our latest publication in AJH!
The major anticoagulant Protein S (PROS1) also contributes to the phagocytosis of apoptotic cells by…
RESEARCH GROUPS
0
JOURNAL ARTICLES
0
TEAM MEMBERS
0

Research groups

The spleen, a major immune organ, contributes to the circulation of red blood cells, a process essential for survival. Rigid or adherent red blood cells are retained and eliminated by the spleen to prevent inadequate blood flow in other organs. The human spleen controls the quality of red blood cells by stringently challenging their deformability.
We study the circulatory capacity of red blood cells with reference tools (histology, cell morphology, ektacytometry, interference contrast, electron microscopy, mouse model, etc.) and with innovative methods (filtration by microbeads, flow imaging, ex-vivo perfusion of human spleens, splenomimetic microfluidics …). We have defined the splenic filtering functional unit, the splenon, by analogy with the renal filtering unit, the nephron. We also study the spleen-specific pitting process of pitting, by which rigid bodies are expelled from the red blood cell that returns to the circulation almost intact.
Concepts and applications are explored and envisioned in malaria, transfusion and red cell diseases.

Spleen & Hemolytic anemia

Spleen & Hemolytic anemia

Read More

Red cell clearance in Malaria

Red cell clearance in Malaria

Read More

Spleen, Red cell Aging & Transfusion group

Spleen, Red cell Aging & Transfusion group

Read More

Spleen function in physiology and disease

Spleen function in physiology and disease

Read More

Selected publications

Array

Proteostasis and metabolic dysfunction characterize a subset of storage-induced senescent erythrocytes targeted for posttransfusion clearance.
J Clin Invest, 2025, vol.135, p.
Sandy Peltier, Mickaël Marin, Monika Dzieciatkowska, Michaël Dussiot, Micaela Kalani Roy, Johanna Bruce, Louise Leblanc, Youcef Hadjou, Sonia Georgeault, Aurélie Fricot, Camille Roussel, Daniel Stephenson, Madeleine Casimir, Abdoulaye Sissoko, François Paye, Safi Dokmak, Papa Alioune Ndour, Philippe Roingeard, Emilie-Fleur Gautier, Steven L Spitalnik, Olivier Hermine, Pierre A Buffet, Angelo D’Alessandro, Pascal Amireault

Array

Protein S Enhances the Phagocytosis of Phosphatidylserine-Exposing Erythrocytes: Implications in Sickle Cell Disease
American Journal of Hematology, 2025, vol.101, p.26-40
Claire Auditeau, Aurélie Fricot, Raphaël Gauthier, Abdoulaye Sissoko, Zeynep Cacan, Céline Gounou, Laure Joseph, Sandra Manceau, Slimane Allali, Michael Dussiot, Mickael Marin, Alexis Lavergne, Mariem Khamari, Sophie Moog, Elsa Bianchini, Laetitia Claer, Sandrine Laurance, Valentine Brousse, Sébastien Eymieux, Philippe Roingeard, Pascal Amireault, Thiago Trovati Maciel, Alain Brisson, Pierre Buffet, François Saller, Delphine Borgel, Camille Roussel

Array

Splenic structural and functional abnormalities in individuals with NR5A1/SF-1 variants
Endocr Connect, 2025, vol.14, p.250549
Khadidja Fouatih, Camille Roussel, Maryse Cartigny, Muriel Houang, Lise Duranteau, Zeina Chakhtoura, Anne-Sophie Lambert, Marie-Agathe Trouvin, Barbara Girerd, Ekaterina Belozertseva, Delphine Borgel, Stephanie Franchi-Abella, Jérôme Bouligand, Maureen Lopez, Kenneth Chappell, Pierre Buffet, Ines Belguith, Claire Bouvattier, Abd El Kader Ait Tayeb

Array

Genetic regulation of carnitine metabolism controls lipid damage repair and aging RBC hemolysis in vivo and in vitro
Blood, 2024, vol., p.blood.2024023983
Nemkov Travis, Key Alicia, Stephenson Daniel, Earley Eric J, Keele Gregory R, Hay Ariel M, Amireault Pascal, Casimir Madeleine, Dussiot Michaël, Dzieciatkowska Monika, Reisz Julie A, Deng Xutao, Stone Mars, Kleinman Steven H, Spitalnik Steven L, Hansen Kirk C, Norris Philip J, Churchill Gary A, Busch Michael P, Roubinian Nareg H, Page Grier P, Zimring James C, Arduini Arduino, D'Alessandro Angelo

Array

Retention of uninfected red blood cells causing congestive splenomegaly is the major mechanism of anemia in malaria
American journal of hematology, 2024, vol.99, p.223—235
Kho Steven, Siregar Nurjati C, Qotrunnada Labibah, Fricot Aurelie, Sissoko Abdoulaye, Shanti Putu A I, Candrawati Freis, Kambuaya Noy N, Rini Hasrini, Andries Benediktus, Hardy David, Margyaningsih Nur I, Fadllan Fauziyah, Rahmayenti Desandra, Puspitasari Agatha M, Aisah Amelia R, Leonardo Leo, Yayang Bagus T G, Margayani Dewi S, Prayoga Pak, Trianty Leily, Kenangalem Enny, Price Ric N, Yeo Tsin W, Minigo Gabriela, Noviyanti Rintis, Poespoprodjo Jeanne R, Anstey Nicholas M, Buffet Pierre A

Array

Clearance of pathogenic erythrocytes is maintained despite spleen dysfunction in children with sickle cell disease
American journal of hematology, 2024, vol., p.
Sissoko Abdoulaye, Cisse Astan, Duverdier Clemence, Marin Mickael, Dumas Lucie, Manceau Sandra, Maître Blandine, Eckly Anita, Fricot-Monsinjon Aurelie, Roussel Camille, Ndour Papa Alioune, Dussiot Michael, Dokmak Safi, Aussilhou Beatrice, Dembinski Jeanne, Sauvanet Alain, Paye François, Lesurtel Mickaël, Cros Jerome, Wendum Dominique, Tichit Magali, Hardy David, Capito Carmen, Allali Slimane, Buffet Pierre

Array

Splenic filtration of red blood cells in physiology, malaria and sickle cell disease
Current opinion in hematology, 2024, vol.31, p.307—314
Sissoko Abdoulaye, Ben Othmene Yosra, Buffet Pierre

Array

Erythropoietin downregulates red blood cell clearance, increasing transfusion efficacy in severely anemic recipients
American journal of hematology, 2023, vol., p.
Casimir Madeleine, Colard Martin, Dussiot Michael, Roussel Camille, Martinez Anaïs, Peyssonnaux Carole, Mayeux Patrick, Benghiat Samantha, Manceau Sandra, Francois Anne, Marin Nathalie, Pène Frédéric, Buffet Pierre A, Hermine Olivier, Amireault Pascal

Array

Safe drugs with high potential to block malaria transmission revealed by a spleen-mimetic screening
Nature communications, 2023, vol.14, p.1951
Mario Carucci, Julien Duez, Joel Tarning, Irene García-Barbazán, Aurélie Fricot-Monsinjon, Abdoulaye Sissoko, Lucie Dumas, Pablo Gamallo, Babette Beher, Pascal Amireault, Michael Dussiot, Ming Dao, Mitchell V Hull , Case W McNamara, Camille Roussel, Papa Alioune Ndour, Laura Maria Sanz, Francisco Javier Gamo, Pierre Buffet

Array

Retention of uninfected red blood cells causing congestive splenomegaly is the major mechanism of anemia in malaria
American journal of hematology, 2023, vol., p.
Kho Steven, Siregar Nurjati C, Qotrunnada Labibah, Fricot Aurélie, Sissoko Abdoulaye, Shanti Putu A I, Candrawati Freis, Kambuaya Noy N, Rini Hasrini, Andries Benediktus, Hardy David, Margyaningsih Nur I, Fadllan Fauziyah, Rahmayenti Desandra A, Puspitasari Agatha M, Leonardo Leo, Yayang Bagus T G, Margayani Dewi S, Prayoga Pak, Trianty Leily, Kenangalem Enny, Price Ric N, Yeo Tsin W, Minigo Gabriela, Noviyanti Rintis, Poespoprodjo Jeanne R, Anstey Nicholas M, Buffet Pierre A

Array

Intra-erythrocytic vacuoles in asplenic patients: elusive genesis and original clearance of unique organelles
Frontiers in physiology, 2023, vol.14, p.1324463
Dumas Lucie, Roussel Camille, Buffet Pierre

Array

Reduced splenic function can mimic artemisinin resistance in severe malaria
Journal of travel medicine, 2023, vol.30, p.taad144
Roussel Camille, Serris Alexandra, Henry Benoît, Lafon Desmurs Barthelemy, Sitterlé Emilie, Bougnoux Marie Elisabeth, Argy Nicolas, Larréché Sébastien, De Montalembert Mariane, Ioos Vincent, Tantaoui Ilhame, Chambrion Charlotte, Fricot Aurélie, Rouzaud Claire, Lanternier Fanny, Lortholary Olivier, Houzé Sandrine, Jauréguiberry Stéphane, Thellier Marc, Ndour Papa Alioune, Buffet Pierre

Array

Storage-Induced Micro-Erythrocytes Can Be Quantified and Sorted by Flow Cytometry
Frontiers in physiology, 2022, vol.13, p.838138
Marin Mickaël, Peltier Sandy, Hadjou Youcef, Georgeault Sonia, Dussiot Michaël, Roussel Camille, Hermine Olivier, Roingeard Philippe, Buffet Pierre A, Amireault Pascal

Array

Splenic clearance of rigid erythrocytes as an inherited mechanism for splenomegaly and natural resistance to malaria
eBioMedicine, 2022, vol.82, p.104167
Henry B, Volle G, Akpovi H, Gineau L, Roussel C, Ndour PA, Tossou F, Suarez F, Palstra F, Fricot A, Chambrion C, Solinc J, Nguyen J, Garé M, Aussenac F, Cottart CH, Keyser C, Adamou R, Tichit M, Hardy D, Fievet N, Clain J, Garcia A, Courtin D, Hermine O, Sabbagh A, Buffet P

Array

Altered Subpopulations of Red Blood Cells and Post-treatment Anemia in Malaria
Frontiers in physiology, 2022, vol.13, p.875189
Chambrion C, Depond M, Angella L, Mouri O, Kendjo E, Fricot-Monsinjon A, Roussel C, Biligui S, Tantaoui I, Taieb A, Argy N, Houzé S, Piarroux R, Siriez JY, Jaureguiberry S, Larréché S, Théllier M, Cenac N, Buffet P, Ndour PA

Array

Erythrocytic vacuoles that accumulate a fluorescent dye predict spleen size and function in sickle cell disease
American journal of hematology, 2022, vol.97, p.E385—E388
Sissoko A, Fricot-Monsinjon A, Roussel C, Manceau S, Dumas L, Capito C, Allali S, Yekkache N, Dussiot M, Nguyen Y, Lefort Des Ylouses A, Aussilhou B, Tichit M, Hardy D, Maître B, Eckly A, De Montalembert M, Cavazzana M, Joseph L, Buffet P

Array

Combining imaging flow cytometry and machine learning for high-throughput schistocyte quantification: A SVM classifier development and external validation cohort
EBioMedicine, 2022, vol.83, p.104209
Demagny Julien, Roussel Camille, Le Guyader Maïlys, Guiheneuf Eric, Harrivel Véronique, Boyer Thomas, Diouf Momar, Dussiot Michaël, Demont Yohann, Garçon Loïc

Array

Intravenous Artesunate for the Treatment of Severe Imported Malaria: Implementation, Efficacy, and Safety in 1391 Patients.
Clinical infectious diseases : an official publication of the Infectious Diseases Society of America, 2021, vol.73, p.
Roussel Camille, Ndour Papa Alioune, Kendjo Eric, Larréché Sébastien, Taieb Aida, Henry Benoît, Lebrun-Vignes Bénédicte, Chambrion Charlotte, Argy Nicolas, Houzé Sandrine, Mouri Oussama, Courtin David, Angoulvant Adela, Delacour Hervé, Gay Frédérick, Siriez Jean-Yves, Danis Martin, Bruneel Fabrice, Bouchaud Olivier, Caumes Eric, Piarroux Renaud, Thellier Marc, Jauréguiberry Stéphane, Buffet Pierre

Array

Rapid clearance of storage-induced microerythrocytes alters transfusion recovery.
Blood, 2021, vol.137, p.
Roussel Camille*, Morel Alexandre*, Dussiot Michaël*, Marin Mickaël, Colard Martin, Fricot-Monsinjon Aurélie, Martinez Anaïs, Chambrion Charlotte, Henry Benoît, Casimir Madeleine, Volle Geoffroy, Dépond Mallorie, Dokmak Safi, Paye François, Sauvanet Alain, Le Van Kim Caroline, Colin Yves, Georgeault Sonia, Roingeard Philippe, Spitalnik Steven L, Ndour Papa Alioune, Hermine Olivier, Hod Eldad A, Buffet Pierre A**, Amireault Pascal**

Array

Evaluation of splenic accumulation and colocalization of immature reticulocytes and Plasmodium vivax in asymptomatic malaria: A prospective human splenectomy study.
PLoS medicine, 2021, vol.18, p.
Kho Steven, Qotrunnada Labibah, Leonardo Leo, Andries Benediktus, Wardani Putu A I, Fricot Aurelie, Henry Benoit, Hardy David, Margyaningsih Nur I, Apriyanti Dwi, Puspitasari Agatha M, Prayoga Pak, Trianty Leily, Kenangalem Enny, Chretien Fabrice, Brousse Valentine, Safeukui Innocent, Del Portillo Hernando A, Fernandez-Becerra Carmen, Meibalan Elamaran, Marti Matthias, Price Ric N, Woodberry Tonia, Ndour Papa A, Russell Bruce M, Yeo Tsin W, Minigo Gabriela, Noviyanti Rintis, Poespoprodjo Jeanne R, Siregar Nurjati C, Buffet Pierre A*, Anstey Nicholas M*

Array

Hidden Biomass of Intact Malaria Parasites in the Human Spleen.
The New England journal of medicine, 2021, vol.384, p.
Kho Steven, Qotrunnada Labibah, Leonardo Leo, Andries Benediktus, Wardani Putu A I, Fricot Aurelie, Henry Benoit, Hardy David, Margyaningsih Nur I, Apriyanti Dwi, Puspitasari Agatha M, Prayoga Pak, Trianty Leily, Kenangalem Enny, Chretien Fabrice, Safeukui Innocent, Del Portillo Hernando A, Fernandez-Becerra Carmen, Meibalan Elamaran, Marti Matthias, Price Ric N, Woodberry Tonia, Ndour Papa A, Russell Bruce M, Yeo Tsin W, Minigo Gabriela, Noviyanti Rintis, Poespoprodjo Jeanne R, Siregar Nurjati C, Buffet Pierre A*, Anstey Nicholas M*

Array

Metabolic rejuvenation upgrades circulatory functions of red blood cells stored under blood bank conditions.
Transfusion, 2021, vol.61, p.
Marin Mickaël, Roussel Camille, Dussiot Michael, Ndour Papa A, Hermine Olivier, Colin Yves, Gray Alan, Landrigan Matt, Le Van Kim Caroline, Buffet Pierre A, Amireault Pascal

Team Members

Valentin Joste

Post-Doc

Sandy Peltier

Research Engineer

Pascal Amireault

Researcher

Mickael Marin

Engineer

Lucie Dumas

Clinical research associate

Célia Peuziat

Engineer

Saima Nisar

Master student

Abdelhak Ferrah

Master student

Mahé Barles

Master student

Camille Roussel

MCU-PH

Pierre Buffet

Professor

Killian Halberda

Master student

Naomi Canourgues

Engineer

Issiaka Babarimissa

PhD student

Lucia Angella

Engineer

Abdoulaye Sissoko

Post-Doc

Mariam Salim

Post-Doc

Natéo Paul

Master student

Papa Alioune Ndour

Associate Professor

Previous
Next